High fidelity RTase, PrimeScript™ ¸ñÀû¿¡ µû¶ó ¼±Åà °¡´É
|
|
¹ü¿ëÀûÀÎ »ç¿ë |
°íǰÁú cDNA ÇÕ¼º |
°íǰÁú cDNA ÇÕ¼º(5x premix) |
Real Time PCRÀü¿ë cDNA ÇÕ¼º |
|
Á¦Ç°¸í |
PrimeScript™ 1st strand cDNA Synthesis Kit |
PrimeScript™ II 1st strand cDNA Synthesis Kit |
PrimeScript¢â IV 1st strand cDNA Synthesis Mix |
PrimeScript™ RT reagent Kit (perfect Real Time) |
|
Ư¡ |
- High fidelity RTaseÀÇ Ç¥ÁØ - °ÇÑ displacement, elongation activity - °íÂ÷±¸Á¶ RNA Àû¿ë °¡´É |
- ¾Ç¼¼¼¸® ´Ü¹éÁú·Î ºñƯÀÌÀû ½ÅÀåÀ» ¾ïÁ¦ÇØ background¸¦ ´õ¿í ÁÙÀÎ °íǰÁú cDNA ÇÕ¼º - ±æÀ̰¡ ±ä RNAÀÇ full-length cDNA ÇÕ¼º ´É·Â °È - °íÂ÷±¸Á¶ RNA¿¡ Àû¿ë¼º °È |
- ¾Ç¼¼¼¸® ´Ü¹éÁúÀ» ÅëÇÑ ºñƯÀÌÀû ½ÅÀå ¾ïÁ¦ ¹× °íÂ÷±¸Á¶ RNA Àû¿ë¼º °È
- RNA denaturation °úÁ¤À» »ý·«Çϰí RNAÀÇ ¼Õ»ó ¾øÀÌ ´õ ºü¸£°í °íÈ¿À²·Î full length cDNA ÇÕ¼º
- 5x premix ÇüÅÂ
|
- Real Time PCR Àü¿ë cDNA ÇÕ¼º ÃÖÀû - 15ºÐÀÇ ÂªÀº ¹ÝÀÀ ½Ã°£ |
|
°íǰÁú cDNA ÇÕ¼º |
¡Ú¡Ú |
¡Ú¡Ú¡Ú |
¡Ú¡Ú¡Ú |
¡Ú¡Ú |
|
Ȱ¼º ÀúÇØ ¿äÀÎ ±Øº¹ |
¡Ú¡Ú |
¡Ú¡Ú¡Ú |
¡Ú¡Ú¡Ú |
¡Ú¡Ú |
|
½ÅÀ强 |
~ 13.5 kb |
~ 13.5 kb |
~ 13.5 kb |
- |
|
¹ÝÀÀ ¿Âµµ |
42¡É |
42¡É |
42 ¡É (50 ¡É) |
37¡É |
|
42¡É (37¡É)ÀÇ ³·Àº ¹ÝÀÀ¿Âµµ·Î RNA templateÀÇ ¼Õ»óÀ» ÃÖ¼ÒÈ Çϸ鼵µ PrimeScript™ÀÇ ³ôÀº displacement activity¿Í ½ÅÀ强À¸·Î °íÂ÷±¸Á¶³ª ±æÀ̰¡ ±ä RNA µî¿¡¼µµ background°¡ ³·Àº cDNA¸¦ ÇÕ¼ºÇÒ ¼ö ÀÖ´Ù. |
|
¹ÝÀÀ ½Ã°£ |
30 ~ 60ºÐ |
30 ~ 60ºÐ |
10 ~ 20ºÐ |
15ºÐ |
°í¼º´É high fidelity RTase, PrimeScript™ ½Ã¸®Áî Æ¯Â¡
Ư¡ 1. ´Ù¾çÇÑ ±æÀÌÀÇ RNA¿¡¼ background¸¦ ÃÖ¼ÒÈÇÑ °íǰÁúÀÇ cDNA ÇÕ¼º (~ 13.5 kb)
PrimeScript™´Â MMLV À¯·¡ÀÇ RTase·Î °·ÂÇÑ displacement activity¿Í ½ÅÀ强À» °¡Áö°í ÀÖ´Ù (±×¸² 1). µû¶ó¼, ±æÀ̰¡ ±æ°í ±¸Á¶°¡ º¹ÀâÇÑ RNAµµ ¼Õ»óÀÌ ÀûÀº ³·Àº ¹ÝÀÀ¿Âµµ (42¡É)¿¡¼ background¸¦ ÃÖ¼ÒÈÇÏ¿© °íǰÁú·Î cDNA¸¦ ÇÕ¼ºÇÒ ¼ö ÀÖ´Ù (±×¸² 2).
±×¸² 1. °·ÂÇÑ displacement activity

PrimeScript¢â RTase¿Í L»çÀÇ RTase·Î ¨ç°ú ¨èÀÇ Á¶°Ç¿¡¼ cDNA¸¦ ÇÕ¼ºÇÏ¿´´Ù.
±× °á°ú, PrimeScript¢â RTase´Â oligo dT primer¿Í specific primer¸¦ µ¿½Ã¿¡ »ç¿ëÇÑ ½ÇÇè¿¡¼µµ °ÇÑ displacement activity·Î ¸ñÀûÇÏ´Â cDNA¸¦ °íÈ¿À²·Î ÇÕ¼ºÇÏ¿´´Ù.
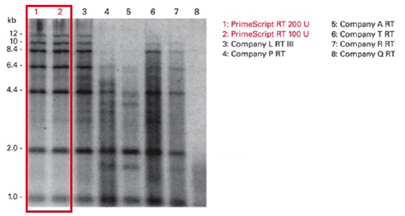
±×¸² 2. °·ÂÇÑ elongation activity·Î full-length cDNA ÇÕ¼º

PrimeScript¢â¿Í ½ÃÆÇµÇ´Â Á¦Ç°À¸·Î RNA ladder (1, 2, 4.4, 6.4, 8.4, 10, 12)¿¡¼ cDNA¸¦ ÇÕ¼ºÇÏ¿´´Ù. ±× °á°ú PrimeScript¢â RTase´Â ´Ù¾çÇÑ ±æÀÌÀÇ RNA¸¦ background°¡ ³·Àº full-lengthÀÇ cDNA·Î ÇÕ¼ºÇÏ¿´´Ù.
Ư¡ 2. ¸Å¿ì ³ôÀº Á¤È®µµ·Î ¿¡·¯À²ÀÌ ³·Àº cDNA ÇÕ¼º
Reverse transcriptionÀº ´Ù¾çÇÑ ½ÇÇèÀÇ ½ÃÀ۴ܰèÀ̱⠶§¹®¿¡ RNA ¼¿À» Á¤È®ÇÏ°Ô cDNA·Î ÇÕ¼ºÇÏ´Â °ÍÀÌ Áß¿äÇÏ´Ù. PrimeScript™´Â high fidelity RTase·Î cDNA¸¦ Á¤È®ÇÏ°Ô ÇÕ¼ºÇÒ ¼ö Àֱ⿡ ÀÌÈÄ cloningÀ̳ª sequencing µî¿¡ ½ÇÇè °á°úÀÇ ½Å·Úµµ¸¦ ³ôÀÏ ¼ö ÀÖ´Ù (±×¸² 3).
±×¸² 3. Á¤È®ÇÑ cDNA ÇÕ¼º ´É·Â

PrimeScript™¿Í ½ÃÆÇµÇ´Â Á¦Ç°À¸·Î human placenta À¯·¡ total RNA¸¦ cDNA·Î ÇÕ¼ºÇÏ¿´´Ù. ÀÌÈÄ PrimeSTAR
¢ç HS DNA Polymerase·Î ÁõÆøÇÏ¿© cloningÇϰí sequencingÇÑ °á°ú, PrimeScript™ÀÇ errorÀ²ÀÌ ¸Å¿ì ³·Àº °ÍÀÌ È®ÀεǾú´Ù.
Ư¡ 3. °íÂ÷±¸Á¶ RNA ¶Ç´Â GC-richÀÇ RNA¿¡¼µµ ¶Ù¾î³ cDNA ÇÕ¼º
±æÀ̰¡ ±æ°Å³ª ±¸Á¶°¡ º¹ÀâÇÑ ¹Ýº¹ ±¸Á¶ (AT rich, GC rich)¸¦ °¡Áö°í ÀÖ´Â RNA´Â °íÂ÷±¸Á¶¸¦ Çü¼ºÇÏ°Ô µÇ°í, ÀÌ´Â RTase°¡ cDNA¸¦ ÇÕ¼ºÇÏ´Â °úÁ¤À» ÀúÇØÇÒ ¼ö ÀÖ´Ù. PrimeScript™´Â RNA¿¡ ´ëÇÑ ºñƯÀÌÀû °áÇÕÀ» ¾ïÁ¦ÇÏ¿©, primer°¡ annealingµÈ ºÎºÐ¿¡¸¸ °áÇÕÇÏ´Â ´É·ÂÀÌ ÃÖÀûÈ µÇ¾î, °íÂ÷±¸Á¶ÀÇ RNA¿¡¼µµ ÇÕ¼º ÀúÇØ³ª, mis-priming ¾øÀÌ È¿À²ÀûÀ¸·Î cDNA¸¦ ÇÕ¼ºÇÒ ¼ö ÀÖ´Ù. µû¶ó¼ °íÂ÷±¸Á¶ÀÇ RNA (±×¸² 4) ¶Ç´Â GC-richÀÇ RNA (±×¸² 5)¿¡¼µµ background°¡ ³·Àº °íǰÁúÀÇ cDNA ÇÕ¼ºÀÌ °¡´ÉÇÏ´Ù.
±×¸² 4. °íÂ÷±¸Á¶ÀÇ RNA¿¡µµ ¶Ù¾î³ cDNA ÇÕ¼º´É·Â

PrimeScript¢â¿Í L»çÀÇ RT III·Î ¸Å¿ì º¹ÀâÇÑ °íÂ÷±¸Á¶¸¦ °¡Áø 28S ribosomal RNA¸¦ (HL 60 À¯·¡) Ÿ°ÙÀ¸·Î ÇÏ´Â specific primer¸¦ »ç¿ëÇÏ¿© °¢°¢ÀÇ ±ÇÀåÁ¶°Ç¿¡¼ cDNA¸¦ ÇÕ¼ºÇϰí, ÇÕ¼ºµÈ cDNA¸¦ µ¿ÀÏ Á¶°Ç¿¡¼ PCR ÁõÆø ÈÄ °á°ú¸¦ ºñ±³ÇÏ¿´´Ù. ±× °á°ú PrimeScript¢â ´Â 42¡ÉÀÇ ÇÕ¼º ¿Âµµ¿¡¼µµ L»ç È¿¼ÒÀÇ 50¡É ¶Ç´Â 55¡É ¹ÝÀÀº¸´Ù °íÂ÷±¸Á¶ÀÇ RNA¿¡¼ ¶Ù¾î³ cDNA ÇÕ¼º ´É·ÂÀ» °¡Áø °ÍÀÌ È®ÀεǾú´Ù.
±×¸² 5. GC-rich ¼¿À» Æ÷ÇÔÇÑ RNA¿¡¼µµ ¶Ù¾î³ cDNA ÇÕ¼º´É·Â

PrimeScript¢â¿Í A»çÀÇ RTase·Î HL60 À¯·¡ total RNA¸¦ °¢°¢ÀÇ ±ÇÀå Á¶°Ç¿¡¼ oligo dT primer·Î cDNA¸¦ ÇÕ¼ºÇϰí, ApoE À¯ÀüÀÚ (GC ÇÔ·® 75%, 520 bp)¸¦ Ÿ°ÙÀ¸·Î ÇÑ PCR °á°ú¸¦ ºñ±³ÇÏ¿´´Ù. ±× °á°ú PrimeScript¢â°¡ GC-richÀÇ RNA¿¡¼µµ ¶Ù¾î³ cDNA ÇÕ¼º ´É·ÂÀ» °¡Áø °ÍÀ» È®ÀεǾú´Ù.
Ư¡ 4. ¼Ò·®ÀÇ »ùÇõµ ³ôÀº È¿À²·Î cDNA ÇÕ¼º
PrimeScript™´Â ¶Ù¾î³ ½ÅÀ强À» ¹ÙÅÁÀ¸·Î ³ôÀº °¨µµ¿Í ¼öÀ²·Î cDNA¸¦ ÇÕ¼ºÇÒ ¼ö ÀÖ´Ù. µû¶ó¼ Ÿ°Ù RNAÀÇ ±æÀ̰¡ ±æ¾îµµ, ¼Ò·®ÀÇ »ùÇÿ¡¼µµ °íǰÁúÀÇ cDNA ÇÕ¼ºÀÌ °¡´ÉÇÏ´Ù.
±×¸² 6. ½ÅÀ强ÀÌ ¶Ù¾î³ª ±æÀ̰¡ ±ä cDNA ÇÕ¼º¿¡µµ ÃÖÀû

PrimeScript¢â¿Í ½ÃÆÇµÇ°í ÀÖ´Â Á¦Ç°À¸·Î human heart À¯·¡ total RNA¿¡¼ °¢°¢ÀÇ ±ÇÀå Á¶°Ç°ú oligo dT primer·Î cDNA¸¦ ÇÕ¼ºÇϰí, À̸¦ Dystrophin À¯ÀüÀÚ Áß ´Ù¾çÇÑ ±æÀÌÀÇ (2 kb, 6kb, 12 kb) ¼¿À» Ÿ°ÙÀ¸·Î PCRÇÑ °á°ú¸¦ ºñ±³ÇÏ¿´´Ù. ±× °á°ú, PrimeScript¢â°¡ °¨µµ¿Í ½ÅÀ强ÀÌ ¸Å¿ì ¶Ù¾î³ °ÍÀÌ È®ÀÎ µÇ¾ú´Ù.
¾Ç¼¼¼¸® ´Ü¹éÁú·Î °íÂ÷±¸Á¶ RNA¿¡ Àû¿ë¼ºÀÌ °³¼±µÈ PrimeScript¢â II, PrimeScript¢â IV
1. ¾Ç¼¼¼¸® ´Ü¹éÁú ÷°¡¸¦ ÅëÇØ cDNA ÇÕ¼º ÀúÇØ¿äÀÎÀ» ±Øº¹ÇÑ PrimeScript™ II
°íÂ÷±¸Á¶ RNA ¶Ç´Â ±æÀ̰¡ ±ä RNA¸¦ ÁÖÇüÀ¸·Î »ç¿ëÇÏ´Â °æ¿ì, È¿¼ÒÀÇ ºñƯÀÌÀû °áÇÕ, mis-priming¿¡ ÀÇÇÑ ºñƯÀÌÀû ÇÕ¼º µîÀ¸·Î °íǰÁú cDNA ÇÕ¼ºÀÌ ÀúÇØµÈ´Ù.
PrimeScript™ II 1st strand cDNA Synthesis Kit (Code 6210A)´Â PrimeScript™ RTase¿¡ ¾Ç¼¼¼¸® ´Ü¹éÁúÀ» Ãß°¡ÇÏ¿© ÀÌ·¯ÇÑ cDNA ÇÕ¼º ÀúÇØ¿äÀÎÀ» ÃÖ´ëÇÑ ¾ïÁ¦ÇÏ¿´´Ù. PrimeScript™ II RTase¸¦ »ç¿ëÇÏ¸é ¼Õ»ó °ÆÁ¤ÀÌ ¾ø´Â ³·Àº ¹ÝÀÀ ¿Âµµ¿¡¼ (42¡É) °íǰÁúÀÇ full-lengthÀÇ cDNA¸¦ ÇÕ¼ºÇÒ ¼ö ÀÖ´Ù. ¶ÇÇÑ cDNA ÇÕ¼º ÀúÇØ¿äÀÎÀÌ ÃÖ´ëÇÑ ¾ïÁ¦µÇ¾ú±â¿¡ ¹ÝÀÀ¾× Á¶Á¦ ÈÄ ¾óÀ½À§¿¡ µÐ ä·Î ¹ÝÀÀ ½ÃÀÛ±îÁö ´Ù¼Ò ½Ã°£ÀÌ Áö¿¬µÇ¾îµµ ºñ ƯÀÌÀû ¹ÝÀÀ¿¡ ÀÇÇÑ ¿µÇâÀÌ °ÅÀÇ ¾ø´Ù.
2. 5x premix ÇüÅ·ΠQuick & Effectve ÇÕ¼ºÀÌ °¡´ÉÇÑ PrimeScript™ IV
PrimeScript™ IV 1st strand cDNA Synthesis Mix (Code 6215A)´Â PrimeScript™ II RTase¿¡¼ È¿¼Ò°¡ ´õ¿í °³·®µÇ¾î ±âÁ¸ ¿ªÀü»ç ¹ÝÀÀ¿¡¼ ÇÊ¿äÇß´ø RNA denaturation °úÁ¤À» »ý·«Çϰí 15~30ºÐ ¹ÝÀÀÀ¸·Î RNAÀÇ ¼Õ»ó ¾øÀÌ ´õ ºü¸£°Ô °íÈ¿À²·Î cDNA¸¦ ÇÕ¼ºÇÒ ¼ö ÀÖ°Ô µÇ¾ú´Ù. ¶ÇÇÑ 5x premixÀÇ ÇüÅ·ΠÁ¦°øµÇ¾î »ç¿ëÀÌ ´õ¿í Æí¸®Çϰí Àú³óµµÀÇ »ùÇÿ¡¼ ´õ¿í È¿°úÀûÀ¸·Î cDNA ÇÕ¼ºÀÌ °¡´ÉÇÏ°Ô µÇ¾ú´Ù.
Real Time PCR¿ë cDNA ÇÕ¼º PrimeScript¢â RT ½Ã¸®Áî
Ư¡ 1. Real Time PCR¿¡ ÀÌ»óÀûÀÎ PrimeScript™ RT ½Ã¸®Áî
Real Time PCR¿¡¼´Â ÀϹÝÀûÀ¸·Î Ÿ°Ù ¼¿ÀÌ 80~150bp (ÃÖ´ë 300 bp)À¸·Î ª´Ù. ±×·¸±â¿¡ full-lengthÀÇ cDNA¸¦ ÇÕ¼ºÇÏ´Â ´ë½Å Real Time PCR Àü¿ë PrimeScript™ RT¸¦ »ç¿ëÇϸé, 15ºÐ ¹ÝÀÀÀ¸·Î Real Time PCR¿¡¼ »ç¿ëÇϱ⿡ ÃÖÀûÀÎ cDNA¸¦ ÇÕ¼ºÇÒ ¼ö ÀÖ´Ù (±×¸² 7).
±×¸² 7. Real Time PCR Àü¿ë PrimeScript¢â RT ½Ã¸®ÁîÀÇ ¶Ù¾î³ °¨µµ, ºü¸¥ ÇÕ¼º ¼Óµµ

PrimeScript™ RT Kit (Code RR036, RR037)¿Í ½ÃÆÇµÇ°í ÀÖ´Â Á¦Ç°µé·Î ´Ù¾çÇÑ ³óµµÀÇ total RNA (1pg~1§¶, 10 §¡ ¹ÝÀÀ)¿¡¼ cDNA¸¦ ÇÕ¼ºÇÑ ÈÄ À§ÀÇ Á¶°Ç¿¡ µû¶ó Real Time PCRÀ» ÁøÇàÇØ linearity (R
2°ª)¿Í È¿¼ÒÀÇ È¿À²À» È®ÀÎÇß´Ù. ±× °á°ú PrimeScript™ RT Kit´Â 15ºÐ ¹ÝÀÀÀ¸·Îµµ Àú³óµµ¿¡¼ °í³óµµ±îÁö ¸ðµÎ ³ôÀº linearity (R
2°ª)¸¦ º¸¿´°í, ´õ¿í ¶Ù¾î³ °¨µµ·Î cDNA¸¦ ÇÕ¼ºÇÏ¿´´Ù.
PrimeScript¢â °ü·ÃÁ¦Ç°
PCR, cloning, sequencing µîÀ» À§ÇÑ full length cDNA ÇÕ¼º
Real-Time PCR Àü¿ë cDNA ÇÕ¼º